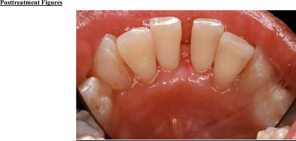
Fig. (3a) Significant improvements in tissue color, contour, and consistency are apparent at 6 months after removal of the fibroma.