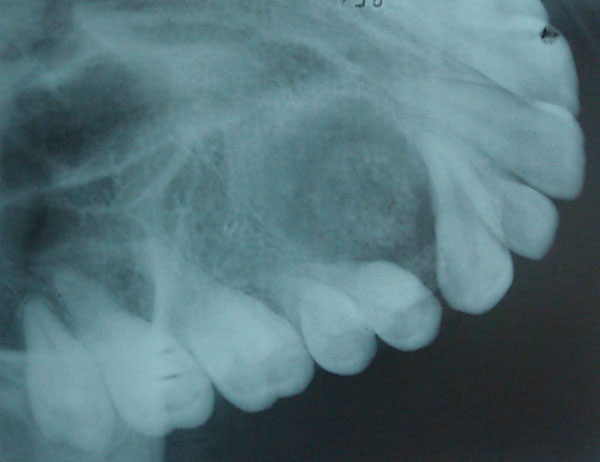
Fig. (2) Occlusal radiograph showing target like lesion between the roots of the canine and first premolar.