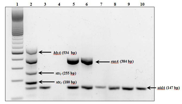
Fig. (1) Detection of virulence and housekeeping genes in E. coli isolates by multiplex PCR. Lanes: 1, 100-base pair DNA ladder; 2, positive control (E. coli O157:H7); 3, negative control (E. coli ATCC 25922; 5144552-36560); 4, LC (5044552-24560); 5, CTC-1 (5144572- 36560); 6, CTPP (5144572-26570); 7, FLN (5144572-36560); 8, TP (5144552-26570); 9, LWR (5144572-36560); and 10, SRC (5144572- 36560). Use isolate abbreviation and Table 1 to determine the source of the isolate (i.e., name and location of the surface water sampled). The 12-digit barcode (Table 4) for each isolate is shown in parentheses. Virulence genes were stx1 and stx2 (shiga toxin), eaeA (intimin), and hlyA (enterohemolysin), and the housekeeping gene was uidA (β-D-glucuronidase) (Table 2).