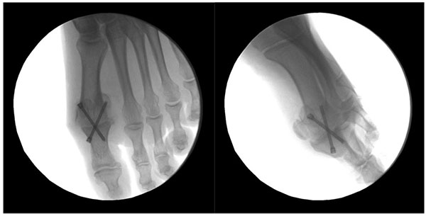
Fig. (5) Arthrodesis fixation.