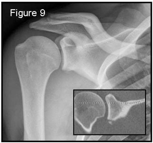
Fig. (9) Grashey view: a true antero-posterior X-ray view in the scapular plane. 55x51mm (150 x 150 DPI).