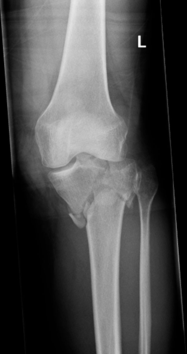
Fig. (1) Comminuted left tibial plateau fracture (Schatzker V) of patient A.